
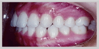
歯並びが悪い
12歳5ヶ月
(装置名) Expansion. FMA.マルチブラケット.Bumper
非抜歯
スペース確保のために、抜歯又は早い時期からの拡大が必要。
丁寧な歯磨きが必要
¥931.830
初診12歳5ヶ月→マルチブラケット開始16歳1ヶ月→(2年5ヶ月)→終了18歳6ヶ月
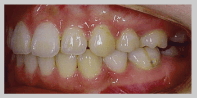
10歳2ヶ月
(装置名) HG.ACCO.Bumper.マルチブラケット
ヘッドギア、ACCO等の装着への協力が必要。 丁寧な歯磨きが必要
¥970.000
初診10歳2ヶ月→マルチブラケット開始14歳10ヶ月→(4年10ヶ月)→終了19歳0ヶ月
受け口
7歳8ヶ月
(装置名) FMA.マルチブラケット
非抜歯 顎の成長発育により噛み合わせが変化する可能性があるので 成長終了時期まで定期観察が必要
¥651.390
初診7歳8ヶ月→マルチブラケット開始11歳5ヶ月→(2年1ヶ月)→終了13歳6ヶ月
前歯が閉じない7歳5ヶ月(装置名) Crib付きPlate.BJA.GMD.HA. .マルチブラケット
(抜歯部位)上下4/4 舌突出癖の抑制が不十分だと前歯の根吸収の可能性がある。
¥651.390
初診7歳5ヶ月→マルチブラケット開始15歳11ヶ月→(5年6ヶ月)→Ope.21歳5ヶ月→(9ヶ月)→終了22歳2ヶ月
矯正歯科治療には以下の一般的なリスク.副作用があることをご理解ください。
全てのリスクや副作用が生じるわけではありません。
一般的なリスクや副作用について 2020年11月 日本矯正歯科学会資料から引用
1. 最初は矯正装置による不快感、痛み等があります。数日間〜1、2週間で慣れることが多いです。
2. 歯の動き方には個人差があります。そのため、予想された治療期問が延長する可能性があります。
3. 装置の使用状況、顎間ゴムの使用状況、定期的な通院等、矯正治療には患者さんの協力が非常に重要であり、それらが治療結果や治療期問に影響します。
4. 治療中は、装置が付いているため歯が磨きにくくなります。むし歯や歯周病のりスクが高まりますので、丁寧に磨いたり、定期的なメンテナンスを受けたりすることが重要です。また、歯が動くと隠れていたむし歯が見えるようになることもあります。
5. 歯を動かすことにより歯根が吸収して短くなることがあります。また、歯ぐきがやせて下がることがあります。
6. ごくまれに歯が骨と癒着していて歯が動かないことがあります。
7. ごくまれに歯を動かすことで神経が障害を受けて壊死することがあります。
8. 治療途中に金属等のアレルギー症状が出ることがあります。
9. 治療中に「顎関節で音が鳴る、あごが痛い、口が開けにくい」などの顎関節症状が出ることがあります。
10. 様々な問題により、当初予定した治療計画を変更する可能性があります。
11. 歯の形を修正したり、咬み合わせの微調整を行ったりする可能性があります。
12. 矯正装置を誤飲する可能性があります。
13. 装置を外す時に、エナメル質に徹小な亀裂が入る可能性や、かぶせ物 (補綴物) の一部が破損する可能性があります。
14. 装置が外れた後、保定装置を指示通り使用しないと後戻りが生じる可能性が高くなります。
15. 装置が外れた後、現在の咬み合わせに合った状態のかぶせ物 (補綴物) やむし歯の治療(修復物)などをやりなおす可能性があります。
16. あごの成長発育によりかみ合わせや歯並びが変化する可能性があります。
17. 治療後に親知らずが生えて、凸凹が生じる可能性があります。加齢や歯周病等により歯を支えている骨がやせるとかみ合わせや歯並びが変化することがあります。その場合、再治療等が必要になることがあります。
18. 矯正歯科治療は、一度始めると元の状態に戻すことは難しくなります。
<マウスピース型矯正装置による治療>
矯正治療の負担が少なく、時間も短縮できる最新の3Dスキャナーを導入いたしました。
これにより、目立たないマウスピース型矯正装置の制作において、歯型を撮る際に、従来にない正確な型取り、デジタル治療のシュミレーションが行えます。
従来の粘土のようなものでの印象採得(歯型とり)が苦手な嘔吐反射の強い方であっても、不快感なく行えます。
さらに3Dにて現在と将来の予測をたてやすく、より丁寧なカウンセリングがおこなえ、目標に向かって患者様とごいっしょにより良い治療にむかうことが可能になりました。
|
 |